四川省兔出血症病毒2型流行病学调查及遗传变异分析

2025-11-13 13:03:52

四川省动物疫病预防控制中心 李丽、陈弟诗、陈斌、邓飞、邵靓、周莉媛等

摘要:为了解四川省兔出血症病毒2型(rabbit hemorrhagic disease virus type 2,RHDV2)的流行情况及分子遗传变异特征,采集全省范围内的7 525份样品,其中发病兔场肝脏组织样品117份、环境拭子样品243份,受监测兔场血液样品3 340份、环境拭子样品3 825份,采用商品化荧光RT-PCR试剂盒,对以上样品进行RHDV2检测;对筛选出的12份肝组织阳性样品进行RHDV2 VP60基因RT-PCR扩增、测序和遗传进化分析。结果显示:RHDV2流行无明显季节性,各养殖品系家兔均有RHDV2感染,哺乳仔兔、幼兔、怀孕哺乳母兔死亡率分别为25%~60%、18%~45%、9%~30%。发病兔场肝脏样品RHDV2阳性检出率为88.89%(104/117),环境样品为46.09%(112/243);受监测兔场全血样品RHDV2阳性检出率为25.99%(868/3340),环境样品为16.29%(623/3825)。12份阳性样品的RHDV2 VP60基因序列长度均为1 740 bp,核苷酸序列同源性为98.4%~100%,在系统发生进化树上独成一簇;与国内外参照毒株的VP60基因序列核苷酸同源性为93.7%~100%,编码的氨基酸序列同源性为95.7%~99.8%。结果表明:RHDV2已开始在四川省流行,需要加强检疫,重视饲养管理工作;其VP60基因序列出现了一定程度的变异,但遗传演化相对稳定。本研究补充了国内RHDV2的分子流行病学信息,也为该病的相关防控研究和控制对策制定提供了参考。

兔病毒性出血症(rabbit hemorrhagic disease,RHD)俗称兔瘟,是兔的一种急性、高度致死性传染病。RHD因潜伏期短、发病急、病程短、传播快、死亡率高(可达100%),被我国列为二类动物疫病。该病典型病变特征是呼吸系统出血,实质器官淤血、肿大、出血,肝脏坏死,由嵌杯病毒科(Caliciviridae)兔病毒属(Lagovirus)兔出血症病毒(rabbit hemorrhagic disease virus,RHDV)感染引起。根据感染的RHDV基因型不同(RHDV GI.1~4),RHD可分为RHD1型(经典型)和RHD2型两种。其中,RHD1型曾在世界很多国家发生和流行,但随着免疫接种等防控措施的实施,RHD1的流行得到基本控制。RHD2型由RHDV GI.2基因型毒株(以下称RHDV2)感染引起,2010年由法国首次报道。2020年以前,RHD2主要在欧洲一些国家发生,之后出现在非洲国家以及美洲的美国和墨西哥,呈现蔓延趋势。2020年4月我国四川省金堂县首次发生RHD2疫情,平均死亡率为42.85%,共扑杀销毁家兔3 500余只,给养殖户带来较大经济损失。国内目前没有预防RHD2的疫苗,也无有效的治疗药物可用,因而该病严重威胁着养兔业健康发展。

为了解四川省RHDV2的流行情况、分子流行病学特征和遗传变异规律,本研究于2020—2021年对四川省兔场进行了流行病学调查,采用荧光RT-PCR方法,对发病兔场的360份样品(117份病死兔肝脏组织样品、243份兔场环境拭子样品)和705个受监测兔场的7 165份样品(3 340份全血样品及3 825份环境拭子样品)进行了RHDV2核酸检测,筛选出12份来自不同地区发病兔场的病原核酸阳性样品;设计合成2对RHDV2 VP60基因特异性引物,通过常规分子生物学技术,对12份RHDV2核酸阳性样品进行了VP60基因扩增测序和遗传变异分析,以期为有效控制RHD2型疫情在四川省的蔓延及其控制对策制定提供参考。

图片

材料与方法

图片


毒株、菌种及试剂

2×Taq PCR Master mix、琼脂粉和TIANgel Midi Purification Kit(DP209)等,购自成都安雅生物试剂有限公司;DL 2 000 DNA Marker,购自成都大连宝生物科技有限公司;病毒DNA/RNA提取试剂盒(4.0),购自西安天隆科技有限公司;RHD2型荧光RT-PCR检测试剂盒,购自四川博策检测技术有限公司;EVO M-MLV反转录试剂预混液试剂盒,购自湖南艾科瑞生物工程有限公司。

样品来源

受检样品共计7 525份。其中:360份来自发病兔场,包括117份病死兔肝脏组织样品和243份发病兔场环境拭子样品,采自12个地市18个县区25个发病兔场(表1);7 165份血液及环境拭子样品,采自受监测的705个规模兔场,包括2020年在全省所有地市432个集中监测规模兔场采集的全血样品2 080份、兔场环境样品2 345份,2021年在全省12个地市273个集中监测规模兔场采集的全血样品1 260份、兔场环境样品1 480份。

图片


样品采集

肝脏组织样品:对病死兔解剖,无菌采集肝脏组织,-20 ℃冻存备用;环境棉拭子:采集兔养殖场地面、圈舍、食槽、排泄物等环境样品,置于PBS缓冲液中,-20 ℃冻存备用。受监测兔场采样原则:存栏500只及以上的规模兔场,每个兔场至少采集10份全血样品和10份环境样品;500只以下的兔场,采集5份全血样品和5份环境样品。以上样品均由四川省动物疫病预防控制中心收集保存。 

发病兔场流行病学调查

统计发病兔场发病时间、地点、家兔品系、存栏量、死亡率等基本信息,分析RHD2的发生与季节、品系等的相关性,统计不同生长阶段兔只的死亡率。

荧光RT-PCR检测

将肝脏组织样品研磨匀浆,离心取上清,将环境拭子样品离心取上清,将全血样品直接取样,按常规方法进行总RNA提取,使用RHD2型荧光RT-PCR检测试剂盒进行检测。

VP60基因扩增及测序

根据GenBank(http://www.ncbi.nlm.nih.gov)中的RHDV2基因组序列,通过DNAstar和Premier 5.0软件分析后,针对VP60基因片段设计2对特异性引物(表1)。引物由成都擎科生物有限公司合成,按照合成说明书将其稀释至10 μmol/L,-20 ℃冻存备用。

将经荧光RT-PCR检测筛选出的12份来自不同地区发病兔场的RHDV2核酸阳性肝组织样品,提取总RNA,根据EVO M-MLV反转录试剂预混液试剂盒说明书进行反转录操作,以反转录产物(cDNA)为模板,分别以P1/P2、P3/P4为引物,进行RHDV2 VP60两段基因的PCR扩增,反应结束后取5 μL产物进行1.0%琼脂糖凝胶电泳分析。纯化回收PCR产物,由成都擎科生物有限公司进行序列测定,用DNAstar软件拼接后进行测序结果的Blast分析。

VP60基因序列分析

使用DNAstar等软件分析扩增测序的RHDV2 VP60基因序列的结构组成特征,收集GenBank中的国内外14条不同基因型的RHDV VP60基因序列和10条RHDV2 VP60序列进行RHDV2 VP60基因的核苷酸及其编码氨基酸的同源性分析,同时绘制VP60基因序列系统进化树进行遗传变异分析。

图片

结果与分析

图片

发病兔场流行病学调查

经过对发病兔场的流行病学调查可知:RHD2流行无明显季节性;伊拉配套系、新西兰兔、伊普吕配套系、伊高乐配套系等多个品系家兔均有发病;哺乳仔兔死亡率为25%~60%,部分呈现整窝死亡,幼兔死亡率为18%~45%,怀孕哺乳母兔死亡率为9%~30%。具体情况见表2。

图片


荧光PCR检测

发病兔场 2020—2021年,累计检测发病兔场117份肝脏组织样品及243份环境样品,检出肝脏组织阳性样品104份,阳性检出率为88.89%,检出兔场环境阳性样品112份,阳性检出率为46.09%。部分RHDV2荧光RT-PCR检测结果见图1。

图片


受监测兔场 2020年共检测全血样品2 080份,阳性检出率为14.18%,检测环境样品2 345份,阳性检出率为10.28%;涉及规模场432个,场点阳性检出率为8.56%,2021年共检测全血样品1 260份,阳性检出率为45.48%,检测环境样品1 480份,阳性检出率25.81%;涉及规模场273个,场点阳性检出率为39.93%。全血样品总体阳性检出率为25.99%(868/3 340),环境样品总阳性检出率为16.29%(623/3 825)。具体统计结果见表3。

图片


VP60基因RT-PCR检测

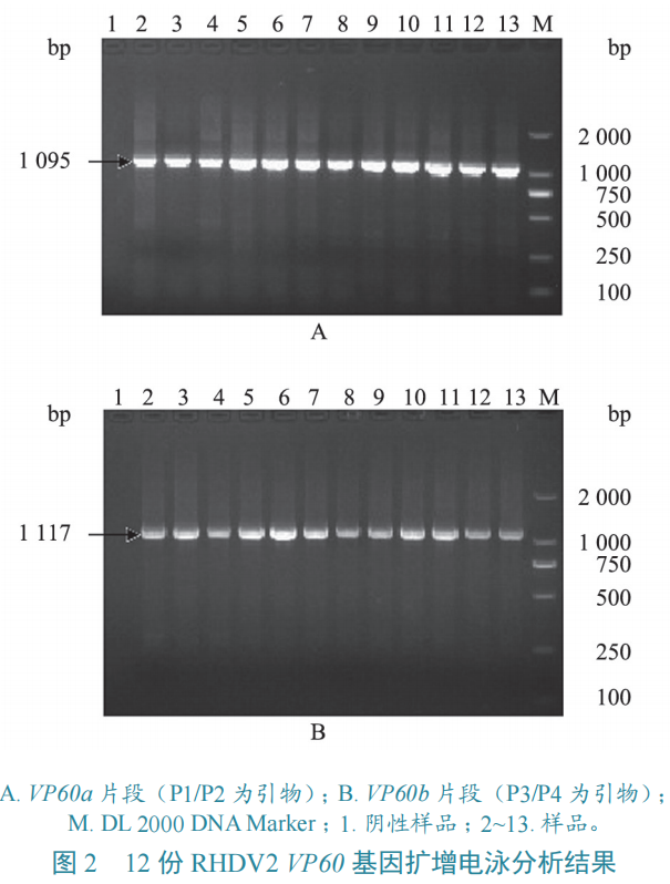
分别以P1/P2、P3/P4为引物,对抽提的12份RHDV2阳性病料中的VP60基因不同片段进行RT-PCR扩增,结果如图2-A和图2-B所示。每份RHDV2都扩增出约1 095 bp和1 117 bp预期大小的两条特异性DNA条带(即VP60a和VP60b片段),阴性对照样品无扩增。

图片


VP60基因测序鉴定

分别对12份RHDV2阳性样品的VP60基因不同片段进行纯化回收及序列测定,将测序结果拼接后进行Blast分析。结果显示,12条扩增序列与GenBank中RHDV2毒株的同源性均在97%以上,表明成功扩增出了12份阳性样品的RHDV2 VP60基因序列。通过DNAstar软件进行VP60编码框(ORF)序列整理,分别编号为SCh202001—SCh202012。 

VP60基因序列特征

采用DNAstar生物学信息软件MegAlign程序进行12份阳性样品的RHDV2 VP60基因序列特征分析,结果受检的12份阳性样品的RHDV2 VP60基因序列长均为1 740 bp,编码579个氨基酸。12份阳性样品的RHDV2 VP60基因序列在第18、24、99、105、114、132、213、252、321、330、363、378、399、568、612、705、723、741、765、804、828、882、885、930、1 026、1 056、1 089、1 095、1 155、1 156、1 165、1 227、1 231、1 242、1 284、1 317、1 551、1 576、1 608、1 618和1 622 bp共41处核苷酸存在突变,核苷酸序列同源性为98.4%~100%,其中114、1 156、1 165、1 231、1 576、1 618和1 622 bp 等7处为错义突变,其他34处均为同义突变,且SCh202004和SCh202005、SCh202007和SCh202009同源性为100%,表明12份阳性样品的RHDV2 VP60基因遗传相对稳定。

VP60基因同源性分析

通过DNAstar软件与GenBank中的10条RHDV2毒株VP60参考序列(表2)进行同源性分析,发现22条VP60基因序列核苷酸同源性为93.7%~100%,其中Sch202010与2020年新加坡RHDV2分离株GI.2/SG-NParks 2020/M54-9(MW194928)同源性最低(93.7%);推导的对应氨基酸序列同源性为95.7%~99.8%,其中SCh202002、SCh202003、SCh202004、SCh202005和SCh202006与2010年法国RHDV2分离株10-32(HE800532)同源性最低(95.7%),而Sch202010与2020年新加坡RHDV2 分离株GI.2/SG-NParks 2020/M54-9(MW194928)推导氨基酸同源性最低(97.2%)。结果表明,12份阳性样品的RHDV2 VP60基因与国外早期和最近毒株相比出现了一定程度变异,但仍相对稳定。

VP60基因遗传演化分析

通过DNAstar软件对12份阳性样品的RHDV2 VP60基因序列与国内外14条不同基因型的RHDV VP60序列和10条RHDV2 VP60序列进行核苷酸比较,绘制系统发生进化树(图3)。经典型RHD毒株(GI.1毒株)和RHDV2毒株形成两个大分支:参考的经典型RHD毒株又分为2个分支,国内的经典型RHD株分别处在不同分支;RHDV2毒株也可分为2个分支,12份阳性样品的RHDV2 VP60序列和我国2020年RHDV2 SC2020-04株(MT383749)单独成簇,与Sweden 2018年分离株2381(MH341513)在一个分支,与新加坡RHDV2分离株GI.2/SG-NParks 2020/M54-9(MW194928)处于不同分支。结果表明,RHDV2毒株VP60基因序列遗传演化可能会呈现复杂化趋势,目前仍相对稳定。

图片


图片

讨论

图片

2010年法国报道出现RHD2后,意大利、西班牙、德国、葡萄牙、英国、挪威等多数西欧国家和亚速尔群岛,以及北非和南非一些国家陆续报道了该病的发生,2019—2020年美国、墨西哥、日本、中国和菲律宾报道发生该亚型疫情,RHD2疫情流行速度快,暴发范围广,呈现出替代经典型RHD(RHD1)趋势。

本研究通过流行病学调查发现,RHD2流行无明显季节性,常见的品系家兔均有发病,其中伊拉配套系发病死亡率较高,乳兔和幼兔死亡率高于成兔,这与国外相关报道一致。样品检测结果显示,发病兔场和受监测兔场的环境样品阳性率在16.29%以上,提示RHDV2传播潜力强大,加强饲养管理和做好消毒等的日常预防具有重要意义。

据相关报道,我国首次发生RHD2疫情的两个兔场的RHDV2 VP60基因片段核苷酸同源性为99.1%,与RHDV2参考毒株的同源性为94.1%~98.3%,属于同一分支上,与经典型RHD毒株的同源性为79.0%~80.0%,亲缘关系较远。为进一步了解其分子流行特点,本研究对12份阳性样品的RHDV2 VP60基因全序列进行了克隆分析。作为RHDV的主要结构蛋白,VP60蛋白的氨基酸序列可分为A(1~21)、B(22~300)、C(301~328)、D(329~343)、E(344~434)和F(435~580)6个区,通过折叠成内壳(S-shell区)和外壳(P2区)两个主要的紧凑区域构成衣壳,其中N端的A和B区组成内壳区,C端的C、D、E、F区组成外壳区,分别位于N端第3l~250位和C端第477~579位氨基酸之间的主要抗原区域。本研究表明,受试的12份RHDV2 VP60基因核苷酸序列有41处突变,含34处同义突变和7处错义突变,即VP60蛋白的B(22~300)1处、E(344~434)2处和F(435~580)3处错义突变。这一点与金明兰等研究RHDVYL毒株VP60基因遗传演变分析时得出的VP60蛋白A、B、D、F区变异相对较低、C、E区变异较高的结论存在一定差异,这需要在更多RHDV2 VP60序列的变异分析上进一步验证,当然这也可能是RHDV2毒株遗传变异的特点。虽然目前12份RHDV2 VP60基因的遗传演变相对稳定,但仍需要警惕较大变异幅度的毒株出现。

通过DNAstar软件对12份阳性样品的RHDV2 VP60基因序列与国内外14条不同基因型的RHDV VP60序列和10条RHDV2 VP60序列绘制系统发生进化树,发现12份RHDV2 VP60序列和我国2020年RHDV2 SC2020-04株(MT383749)单独成簇,与Sweden 2018年分离株2381(MH341513)参考序列同源性较高;RHDV2毒株VP60序列同源性分析发现,RHDV2 VP60基因序列核苷酸同源性为93.7%~100%,其中Sch202010与国外毒株GI.2/SG-NParks 2020/M54-9(MW194928)同源性最低(93.7%),但是12份阳性样品的RHDV2 VP60核苷酸序列同源性为98.4%~100%,这都表明12份阳性样品的RHDV2 VP60基因与国外早期和最近毒株相比出现了一定程度变异,但遗传相对稳定,同时也提示目前我国RHDV2毒株VP60基因比较保守且可能存在区域性特点。需要注意的是,本研究克隆分析用的RHDV2毒株均为同一时期的毒株,通过系统发生进化树发现,国内RHDV毒株流行时期不同,分支也不同,提示RHDV2毒株在我国很可能随着时间和地区的改变出现新的变异现象。

本研究对四川全省1年多时间的RHDV2流行情况进行调查和统计分析,对RHDV2基因序列信息进行收集比对,对12份RHDV2 VP60基因进行了克隆测序和遗传变异分析,发现RHDV2已经在四川省多个地市存在,其VP60基因序列出现了一定程度的变异,但遗传演化相对稳定,RHDV2毒株单独成簇。本研究补充了国内RHDV2的分子流行病学信息,也为RHD2相关防控研究和控制对策制定提供了参考。

《四川省兔出血症病毒2型流行病学调查及遗传变异分析》详情请点击“阅读原文”。